
Change your personality completely with a change in your smile. Think of the last time you posed for a picture. Did you flash your pearly whites or did you hide your teeth? Today, many people benefit from Cosmetic Dentistry. A wide range of techniques are available that can enhance almost any smile. Gone are the days when you had to settle for chipped, stained and crooked teeth. A revolution in newer technology and materials ensure that cosmetically enhanced teeth now look more natural and last longer than they did in the past. Skillfully blending science and art, your dentist can "sculpt" a more attractive smile for you. A smile is a powerful way for you to communicate. A new smile will help you make a great impression –both personally and professionally.
Cosmetic Dentistry is an "art form" devoted to the enhancement of smiles. Our dentists evaluates the health and appearance of your teeth, recommending the best type of treatment for you, and thus crafting a more beautiful smile. It all begins with a smile. A smile is a curve that sets everything straight. A variety of options are currently available to suit most conditions. Some of the commonly used cosmetic options available include :
Bleaching, Bonding and Crowns, Porcelain veneers, White fillings, Porcelain white crowns and Braces.

Forget about stains and discolorations and get back sparklingly white teeth. Professional teeth whitening is a treatment to get your teeth to return back to their natural color. Teeth can be stained on the surface via food and drinks, for example coffee, tea or red wine. Smoking can make teeth appear yellowed. Also as you grow older teeth can become darker naturally. Whitening your teeth will significantly brighten up your smile and give you a younger and healthier appearance. There are two ways to whiten teeth; either the take home trays option and in-house bleaching option. Whitening restores the natural color and bleaching whitens beyond the natural color.

The quickest and dramatic way to renovate your smile. There is a very subtle difference between these two words as far as dentistry is concerned and could be used interchangeably with some liberty. Veneers are wafer-thin shells of porcelain which are bonded onto the front side of teeth and can be an excellent cosmetic solution for crooked, chipped, discolored or worn teeth. Veneers are an excellent alternative to crowns in many situations. They provide a much more conservative approach to changing a tooth's color, size or shape. Veneers can mask undesirable defects, such as teeth stained by tetracycline and damage due to an injury or as a result of a root-canal procedure. Generally, veneers will last for many years, and the technique has shown remarkable longevity when properly performed.

A new remedy to tooth extractions. When the decay in the tooth invades the vital part (Pulp) of the tooth, usually the patient experiences pain. This is a sign that the tooth is infected. In such situations root canal treatment is the only treatment option by which a natural tooth can be saved from extraction. An infected tooth either has to be extracted or treated with root canal treatment. When the tooth is extracted, obviously the patient loses a natural tooth. In addition, the extracted tooth has to be replaced by some artificial means like a bridge or an implant. Generally in our country both these options are costlier than root canal treatment and these artificial teeth need more meticulous maintenance. It is done by cutting into the tooth's pulp chamber and removing the infected pulp by scraping it out of the root canals, then the cavity is filled with an inert material and the opening is sealed. The therapy is painless due to the latest pain control techniques and hi-tech instrumentation facility available in our clinic.
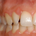
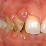
A solution to gum problems. You may need surgery for severe gum disease (periodontitis) if it cannot be cured with antibiotics or root planing and scaling. A flap procedure cleans the roots of a tooth and repairs bone damage caused by gum disease. A gum specialist (periodontist) or an oral surgeon often performs the procedure. The gums are separated from the teeth and folded back temporarily to allow a dentist to reach the root of the tooth and the bone. After numbing the area with a local anesthetic, the periodontist will use a scalpel to separate the gums from the teeth and then lift or fold them back in the form of a flap. This gives the periodontist direct access to the roots and bone supporting the teeth. Inflamed tissue is removed from between the teeth and from any holes (defects) in the bone. The periodontist will then do a procedure called scaling and root planing to clean plaque and tartar. If you have bone defects, your periodontist may eliminate them with a procedure called osseous recontouring, which smoothes the edges of the bone using files or rotating burs. After these procedures are completed, the gums will be placed back against the teeth and anchored in place using stitches.